Dental Office in Carmichael

Dentistry Before and After Photos

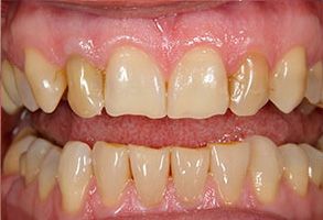
before

Before

Redford Dental Care | Preventative Program, Implant Dentistry and Oral Exams

After

Redford Dental Care | Full mouth reconstruction, Dental Cleanings and Preventative Program

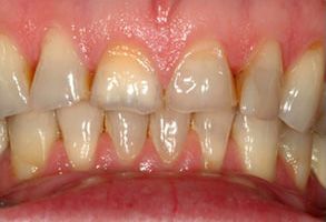
Before

Redford Dental Care | Sports Mouthguards, Full mouth reconstruction and Emergency Treatment

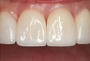
After

Redford Dental Care | Full mouth reconstruction, All-on-4 reg  and TMJ Disorders

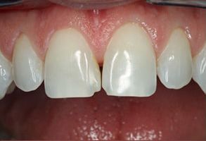
Before

Redford Dental Care | Preventative Program, CBCT and Cosmetic Dentistry

After

Redford Dental Care | All-on-6 reg , Dental Bridges and Veneers

Before

Redford Dental Care | Preventative Program, Periodontal Treatment and Teeth Whitening

After

Redford Dental Care | Veneers, Teeth Whitening and Dental Fillings

Before

Redford Dental Care | Cosmetic Dentistry, Dentures and CEREC reg

After

Redford Dental Care | All-on-6 reg , All-on-4 reg  and Veneers

Before

Redford Dental Care | Night Guards, Dental Fillings and Sports Mouthguards

After

Redford Dental Care | Preventative Program, Pediatric Dentistry and All-on-6 reg

Before

Redford Dental Care | Invisalign reg , All-on-6 reg  and Digital Radiography

After

Schedule a visit today!
Contact Us
Submit

Thank You!

We appreciate you taking the time to visit our site. We'll review your message and be in touch with you soon.

Continue
Dentist in Carmichael